Welcoming New Patients today

Read More Next

We believe in transparency and value. Our new patient appointments are designed to give you a comprehensive understanding of your oral health, with no pressure, and plenty of time to ask questions. 

Our adult new patient exam is £100 and includes a FREE Hygiene SPA experience worth £115

Your first appointment includes:

  • Screening radiographs: This allow us to reveal any hidden dental problems, review past dental work and forms a foundation for your treatment plan.
  • OPG radiograph (if clinically required): This gives us a panoramic view, and offers more diagnostic value for problem areas.
  • Itero digital scan: A non-invasive, radiation-free way to capture a highly detailed 3D image of your teeth, gums, and bite. We use this as part of a comprehensive initial assessment, especially when planning cosmetic, restorative, or orthodontic treatments.
  • Oral cancer screening: This is a non-invasive, quick, and painless process, typically taking just a few minutes.
  • Periodontal health screening: Assesses the health of the gums and supporting structures of the teeth.

“The team here are incredibly helpful and kind. From the receptionist who always greets you with a smile and a chat to the dentists. I always feel cared for” (August 2025)

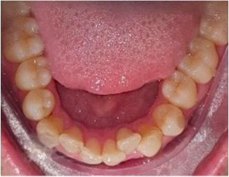
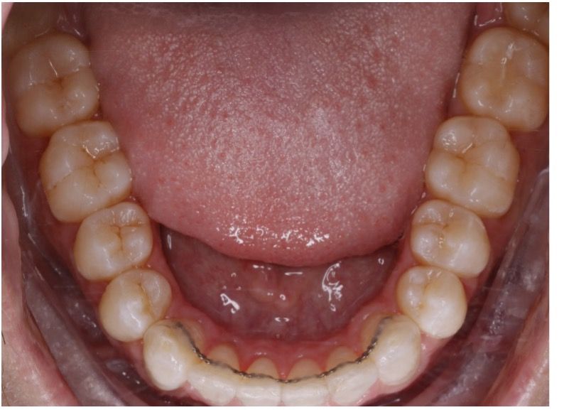
Invisalign treatment Dr Rory


Invisalign before
Invisalign before
Invisalign after
Invisalign before and after