Call back request
In-house Private Orthodontic Treatment For Adults, Teens, & Children
Serving patients throughout Petts Wood and Orpington
Orthodontic treatment doesn’t just straighten teeth.
✅ It builds confidence
✅ Improves oral health
✅ supports long‑term wellbeing
At our Petts Wood practice, we’re proud to offer private orthodontics in-house, meaning your entire treatment journey happens under one roof, with the same friendly team who already know your smile.
Whether it's for you or your child, we make orthodontic care more convenient, more coordinated and more comfortable from start to finish.
The fastest way to get seen is to call us on 01689 823636 or chat to a team member by WhatsApp during opening hours, or click book now and select Orthodontic consultation from the drop down list.
Start your journey to a straighter smile with H williams & Associates Dental Care.
⭐️Special Orthodontics Discovery Months March and April 2026⭐️
We’re offering FREE orthodontic consultations for adults, teens and children In March and April ( usually £100 for adults and £60 for children)
It’s the perfect time to get expert advice from our in-house orthodontic team who will assess your teeth and bite and identify if you or your family needs Orthodontic now, later, or not at all.
If you do need treatment now, we have put together a number of bundles offers saving you hundreds of pounds off the cost of your chosen treatment.
Children's Orthodontics EFFICIENCY package Metal braces
Usual price £4070. Package price £3250 Saving £820
Children's Orthodontics EFFICIENCY package Ceramic braces
Usual price £4770. Package price £3750 saving £1020
Children's Orthodontics COMPLETE package Metal braces
Usual price £4590. Package price £3500 saving £1020
Children's Orthodontics COMPLETE package Ceramic braces
Usual price £5290. Package price £3900 saving £1390
Adult Orthodontics EFFICIENCY package Metal braces
Usual price £5030. Package price £4250 saving £780
Adult Orthodontics EFFICIENCY package Ceramic braces
Usual price £5780. Package price £4750 saving £1030
Adult Orthodontics COMPLETE package Metal braces
Usual price £6350. Package price £4500 saving £1850
Adult Orthodontics COMPLETE package Ceramic braces
Usual price £6360. Package price £4900 saving £1450
Adults
Improve confidence
Straighten teeth discreetly
Fix long-standing bite issues
Explore clear aligners and cosmetic braces
Parents
Understand whether their child needs treatment
Avoid the guesswork of waiting lists
Get a professional opinion before problems get worse
Learn the right timing for orthodontics
Teens
Boost self-esteem
See modern brace and aligner options
Start treatment at the ideal age for results
What Is an Orthodontist?
An orthodontist is a dental specialist who focuses on correcting crooked, misaligned teeth and jaws. We use a variety of tools and techniques, such as braces, clear aligners, and other orthodontic appliances, to help straighten teeth and improve a person’s bite.
We work with patients of all ages, from children to adults, and aim to create a healthy, functional, and beautiful smile. Whether you want to improve your smile for aesthetic reasons or to address an underlying dental issue, we can help you achieve your goals.
H Williams & Associates Dental Care's in-house Orthodontist
Consultant Orthodontist
Dr Ahmed El-Angbawi
Ahmed is our consultant and specialist orthodontist. When not working at H Williams and Associates Ahmed is a Senior lecturer at The Royal London Queen Mary University of London. In 2013 he qualified as an orthodontist after extensive training at the University of Glasgow where he worked as a clinical lecturer in orthodontics. He was awarded his PhD based on a clinical trial in assessing the clinical...
Why it matters that general dentistry and orthodontics are under one roof at H Williams & Associates Dental Care
One Team, One Location
Your general dentist and orthodontic clinician work side by side. No referrals. No handovers. No extra journeys.
Better Communication & Joined Up Care
Because our whole team works together, your treatment is smoother, faster and more coordinated.
Faster Access to Treatment
Skip long referral waiting lists. We assess, plan and begin treatment here without unnecessary delays.
Convenience for Busy Families
With everything in one place, it’s easier to manage school runs, work schedules and last minute appointments.
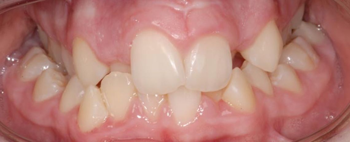
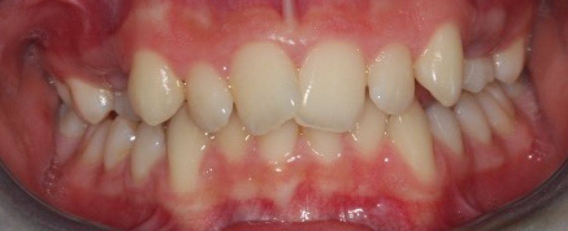
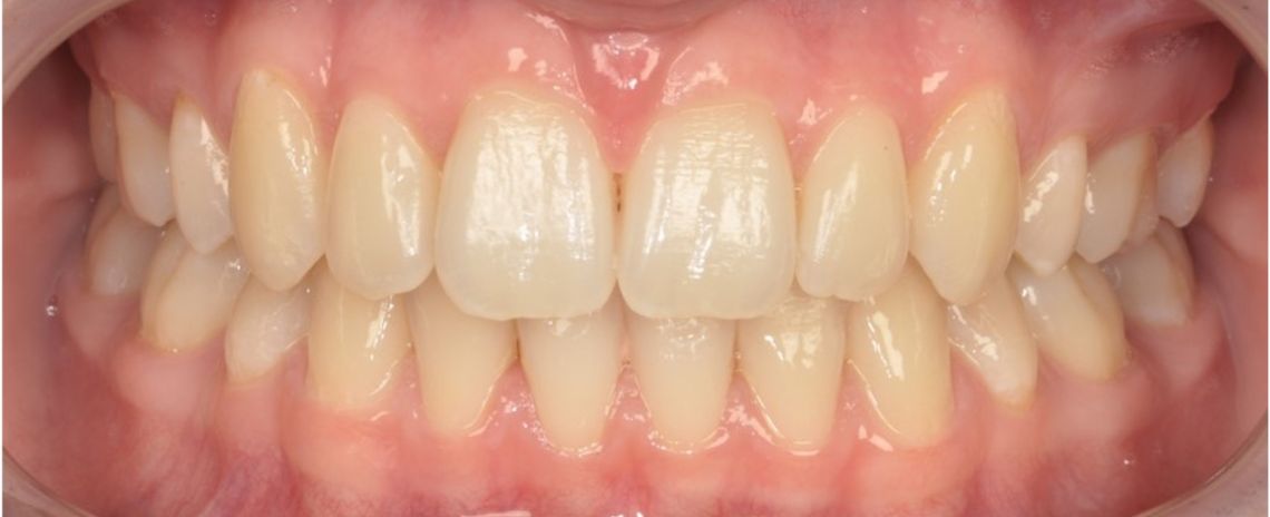
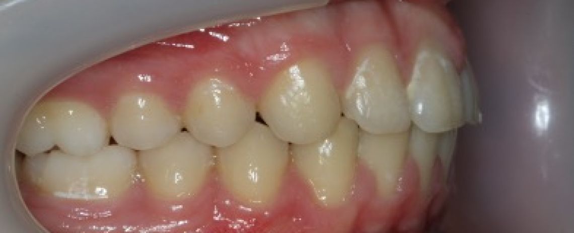
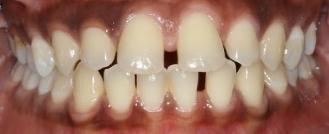
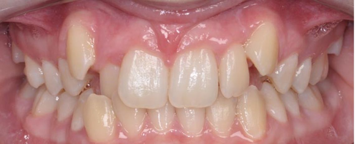
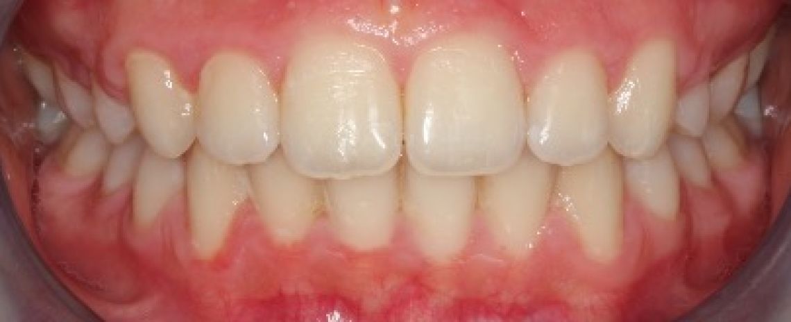
Before and after
How Orthodontic Treatment Works at Our Practice
1. Initial Orthodontic Consultation
We examine your teeth and bite, take photographs and (if needed) X-rays, and discuss your goals.
2. Personalised Treatment Plan
You’ll receive a clear explanation of recommended options, expected timeframes, and costs — tailored to your needs or your child’s growth stage.
3. Brace or Aligner Fitting
We take time to make this appointment as smooth and comfortable as possible, explaining each step.
4. Regular Adjustments & Reviews
All your follow‑up visits happen here in Petts Wood with the same trusted team.
5. Retention & Long-Term Support
After treatment, we provide retainers and regular check-ups to maintain your results.
Straighter teeth are healthier teeth as when they are properly aligned it is much easier to keep your teeth and gums clean and in perfect health.
In-house Specialist Orthodontics (Straight teeth experts)
| In-house Specialist Orthodontics (Straight teeth experts) | Fees |
|---|---|
| Adult consultation | Fees: £100 |
| Child consultation | Fees: £60 |
| Specialist Invisalign® | Fees: From £4,500 |
| Child metal braces | Fees: From £3,400 |
| Adult metal braces | Fees: From £4,300 |
|
Children's Orthodontics EFFICIENCY package Metal braces Usual price £4070. Package price £3250 Saving £820
Children’s Orthodontic Package Options Please note: (Complex cases will have higher fees for the braces themselves, but will include all package items) Ortho Efficiency Package METAL Braces Includes: Consultation – usually £60.00 OPG radiograph – usually 100.00 Records and planning – usually £120.00 Fixed braces metal (upper & lower), all adjustments and debond– usually £3400.00 All elastics and wax – usually £5 per packet or sheet Removable retainers – usually £370.00 |
Fees: From £3,250 |
|
Children's Orthodontics EFFICIENCY package Ceramic braces Usual price £4770. Package price £3750 saving £1020
Children’s Orthodontic Package Options Please note: (Complex cases will have higher fees for the braces themselves, but will include all package items) Ortho Efficiency Package CERAMIC Braces Includes: Consultation – usually £60.00 OPG radiograph – usually 100.00 Records and planning – usually £120.00 Fixed braces ceramic (upper & lower), all adjustments and debond– usually £4100.00 All elastics and wax – usually £5 per packet or sheet Removable retainers – usually £370.00 |
Fees: From £3,750 |
|
Children's Orthodontics COMPLETE package Metal braces Usual price £4590. Package price £3500 saving £1020
Premium all – inclusive option includes: Consultation – usually £60.00 OPG radiograph – usually 100.00 Records and planning – usually £120.00 Fixed braces metal (upper & lower), all adjustments and debond– usually £3500.00 All elastics and wax – usually £5 per packet or sheet Fixed retainers – usually £400 Removable retainers – usually £370.00 2 X Hygienist Appointments – usually £120.00 |
Fees: From £3,500 |
|
Children's Orthodontics COMPLETE package Ceramic braces Usual price £5290. Package price £3900 saving £1390
Premium all – inclusive option includes: Consultation – usually £60.00 OPG radiograph – usually 100.00 Records and planning – usually £120.00 Fixed braces ceramic (upper & lower), all adjustments and debond– usually £4100.00 All elastics and wax – usually £5 per packet or sheet Fixed retainers – usually £400 Removable retainers – usually £370.00 2 X Hygienist Appointments – usually £120.00 |
Fees: From £3,900 |
|
Adult Orthodontics EFFICIENCY package Metal braces Usual price £5030. Package price £4250 saving £780
Consultation – usually £100.00 OPG radiograph – usually 120.00 Records and planning – usually £120.00 Fixed braces metal (upper & lower), all adjustments and debond– usually £4300.00 All elastics and wax – usually £5 per packet or sheet Removable retainers – usually £370.00 Optional add on’s of fixed retainers £400.00 and whitening (home £350.00 or in surgery £530.00) |
Fees: From £4,250 |
|
Adult Orthodontics EFFICIENCY package Ceramic braces Usual price £5780. Package price £4750 saving £1030
Consultation – usually £100.00 OPG radiograph – usually 120.00 Records and planning – usually £120.00 Fixed braces ceramic (upper & lower), all adjustments and debond– usually £5050.00 All elastics and wax – usually £5 per packet or sheet Removable retainers – usually £370.00 Optional add on’s of fixed retainers £400.00 and whitening (home £350.00 or in surgery £530.00) |
Fees: From £4,750 |
|
Adult Orthodontics COMPLETE package Metal braces Usual price £6350. Package price £4500 saving £1850
Premium all – inclusive option includes: Consultation – usually £100.00 OPG radiograph – usually 120.00 Records and planning – usually £120.00 Fixed braces metal (upper & lower), all adjustments and debond– usually £4300.00 All elastics and wax – usually £5 per packet or sheet Fixed retainers – usually £400.00 Removable retainers – usually £370.00 2 X hygienist appointments – usually £230.00 Home whitening – Usually £350.00 |
Fees: From £4,500 |
|
Adult Orthodontics COMPLETE package Ceramic braces Usual price £6360. Package price £4900 saving £1450
Premium all – inclusive option includes: Consultation – usually £100.00 OPG radiograph – usually 120.00 Records and planning – usually £120.00 Fixed braces ceramic (upper & lower), all adjustments and debond– usually £5050.00 All elastics and wax – usually £5 per packet or sheet Fixed retainers – usually £400.00 Removable retainers – usually £370.00 2 X hygienist appointments – usually £230.00 Home whitening – Usually £350.00 |
Fees: From £4,900 |
Who May Require an Orthodontist?
Many people may benefit from the services of an orthodontist, including:
- Children and teenagers who may require early orthodontic treatment to correct issues before they become more severe.
- Adults who seek orthodontic treatment to improve the appearance and function of their teeth.
- People with crooked or misaligned teeth who can benefit from orthodontic treatment to straighten their teeth and improve their bite.
- People with jaw pain or TMJ disorders may need orthodontic treatment to correct their bite.
- People with sleep apnea who may benefit from orthodontic treatment to correct their jaw position and open their airway.
Why Go to a Private Orthodontist?
At our private orthodontic practice we offer:
- Longer appointments to listen to and take care of you
- Affordable payment plans, loyalty plans and financing options to fit any budget
- State-of-the-art equipment and highly trained dentists
- A stress-free environment that makes you feel comfortable and well taken care of
- Personalised treatment plans tailored to your desired appearance
- No need for a referral from your dentist to schedule an appointment
- Saturday and evening appointments
- Every appointment with the Specialist
- Quality materials and treatment which achieve straight teeth within months
- No long waiting lists before starting treatment
Why Choose H Williams?
Everyone desires a stunning smile, one that radiates confidence and leaves a lasting impression. Fortunately, a quick trip to an orthodontist can easily make this a reality. However, with countless orthodontists providing similar treatments, it is crucial to select a specialist with a track record of satisfied clients, reasonable pricing, and exceptional private care services.
At H. Williams, we are proud to offer you all of these benefits and more. Remember, regular appointments with an orthodontist can help keep your teeth and jaw healthy and properly aligned.
Contact us to schedule an orthodontist appointment today.