Call back request

Welcoming New Patients today

Read More Next

We believe in transparency and value. Our new patient appointments are designed to give you a comprehensive understanding of your oral health, with no pressure, and plenty of time to ask questions. 

Our adult new patient exam is £100 and includes a FREE Hygiene SPA experience worth £115

Your first appointment includes:

  • Screening radiographs: This allow us to reveal any hidden dental problems, review past dental work and forms a foundation for your treatment plan.
  • OPG radiograph (if clinically required): This gives us a panoramic view, and offers more diagnostic value for problem areas.
  • Itero digital scan: A non-invasive, radiation-free way to capture a highly detailed 3D image of your teeth, gums, and bite. We use this as part of a comprehensive initial assessment, especially when planning cosmetic, restorative, or orthodontic treatments.
  • Oral cancer screening: This is a non-invasive, quick, and painless process, typically taking just a few minutes.
  • Periodontal health screening: Assesses the health of the gums and supporting structures of the teeth.

“The team here are incredibly helpful and kind. From the receptionist who always greets you with a smile and a chat to the dentists. I always feel cared for” (August 2025)

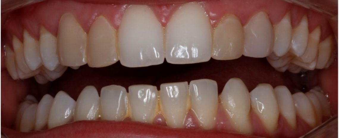
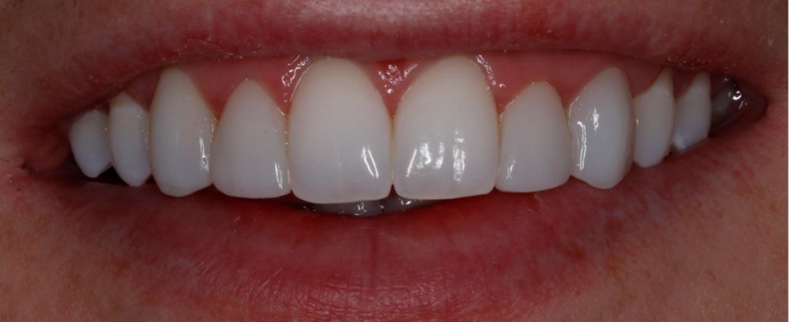
Composite Bonding

Composite bonding is a minimally invasive cosmetic dental treatment that utilises dental composite bonding material to enhance the appearance of teeth.

Essentially, it serves as an ideal solution for correcting chipped, discoloured, or uneven teeth, offering immediate improvements in aesthetics.

How Does Composite Bonding Work?

In the realm of composite bonding, the dentist applies a tooth-coloured filling to the affected teeth. The procedure commences with roughening the surface of the teeth to facilitate superior composite bond teeth adherence. Then, the composite is moulded and sculpted to achieve the desired shape and appearance. A high-intensity light is subsequently utilised to harden the composite, thus completing the composite bonding teeth process.

What Kind of Issues Can Composite Bonding Address?

The versatility of composite bonding means it can rectify a range of dental issues. From composite bonding chipped tooth repairs to closing gaps between teeth (composite bonding gap teeth), the applications are numerous. Composite bonding on wonky teeth, for instance, can straighten your smile without resorting to orthodontic treatments.

How Long Does the Composite Bonding Procedure Take?

Depending on the complexity and number of teeth involved, composite bonding usually takes between 30 to 60 minutes per tooth. For those seeking immediate results, same-day composite bonding options are also available.

How Long Does Composite Bonding Last?

The durability of composite bonding varies, but it generally lasts years with proper care. Factors affecting its longevity include the quality of the composite on teeth, diet and how well you maintain oral hygiene.

Different Types of Composite Bonding

When it comes to composite bonding, there are several types to consider depending on your needs. The composite bonding veneers option offers a veneer-like effect without the high cost. If you have specific dental issues, like a broken tooth, composite bonding broken tooth treatment can restore your tooth to its former glory.

Composite Bonding Cost and Affordability

Many patients are concerned about composite bonding costs. The good news is that the composite bonding cost per tooth is often significantly less than other cosmetic procedures. You can even find reasonable composite bonding costs near me if you shop around. There are also options for composite bonding full mouth treatment, which may offer a discount for multiple teeth.

How to Maintain Composite Bonding

Proper care can extend the lifespan of your composite bonding. Routine cleaning and maintenance will prevent composite bonding on bottom teeth, composite edge bonding on small teeth, or any other composite from deteriorating prematurely. Emergency repairs are also available with emergency composite bonding services.

Environmentally Considerate Practices

When choosing a service for composite bonding, it’s essential to consider environmentally friendly practices. At H Williams, we adhere to strict sustainability measures to ensure our composite on front teeth, composite bonding on crowns, and other treatments have minimal impact on the environment.

What Are the Advantages of Composite Bonding?

There are numerous benefits of opting for composite bonding. Not only does it provide an economical alternative (composite bonding cost) to other treatments like veneers (veneers composite bonding), but it also offers quicker results with less enamel removal.

Who is a Good Candidate for Composite Bonding?

If you’re facing minor cosmetic issues such as gaps, small chips, or uneven teeth, composite bonding might be the ideal choice for you. Factors such as your overall oral health and the condition of your teeth will also play into whether you’re a good candidate for composite bonding for teeth gaps or composite bonding for crowded teeth, for instance.

Why Choose H Williams?

When considering composite bonding teeth near me, look no further than H Williams and Associates. Not only do we offer competitive composite bonding prices, but our skilled team ensures that you receive the best treatment possible. If you’re looking for the best place for composite bonding, you’ve found it.

Ready to transform your smile?

Contact H Williams and Associates today and discover why we’re the best place to get composite bonding.

01689 823636