Call back request

Welcoming New Patients today

Read More Next

We believe in transparency and value. Our new patient appointments are designed to give you a comprehensive understanding of your oral health, with no pressure, and plenty of time to ask questions. 

Our adult new patient exam is £100 and includes a FREE Hygiene SPA experience worth £115

Your first appointment includes:

  • Screening radiographs: This allow us to reveal any hidden dental problems, review past dental work and forms a foundation for your treatment plan.
  • OPG radiograph (if clinically required): This gives us a panoramic view, and offers more diagnostic value for problem areas.
  • Itero digital scan: A non-invasive, radiation-free way to capture a highly detailed 3D image of your teeth, gums, and bite. We use this as part of a comprehensive initial assessment, especially when planning cosmetic, restorative, or orthodontic treatments.
  • Oral cancer screening: This is a non-invasive, quick, and painless process, typically taking just a few minutes.
  • Periodontal health screening: Assesses the health of the gums and supporting structures of the teeth.

“The team here are incredibly helpful and kind. From the receptionist who always greets you with a smile and a chat to the dentists. I always feel cared for” (August 2025)

Smile gallery

Filter

 Invisalign & Composite Bonding Before  Invisalign & Composite Bonding After

Invisalign & Composite Bonding

 Invisalign & Replacing Amalgam Fillings Before  Invisalign & Replacing Amalgam Fillings After

Invisalign & Replacing Amalgam Fillings

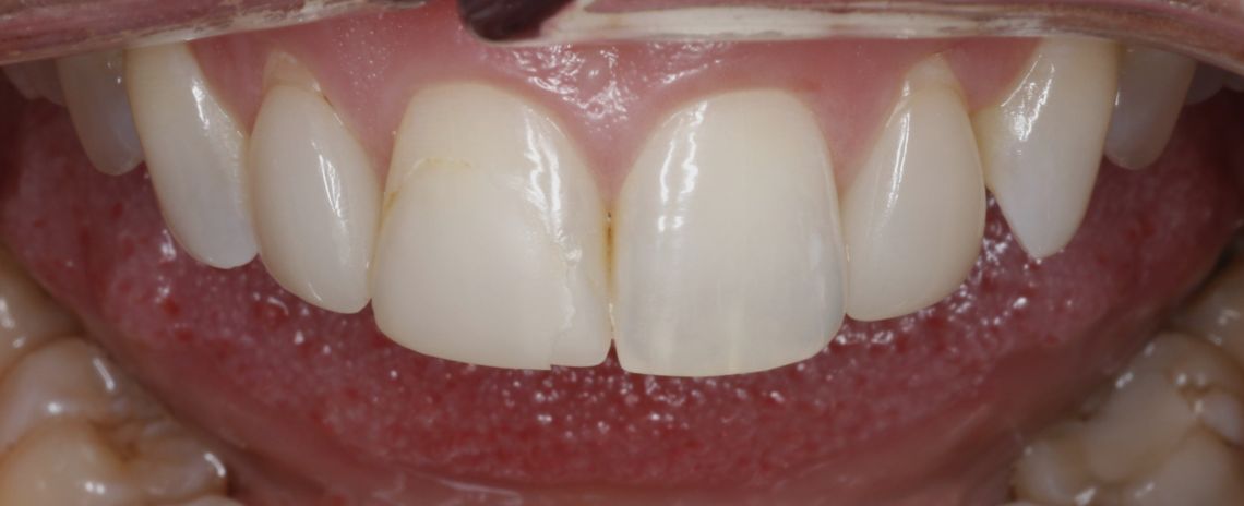
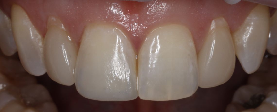
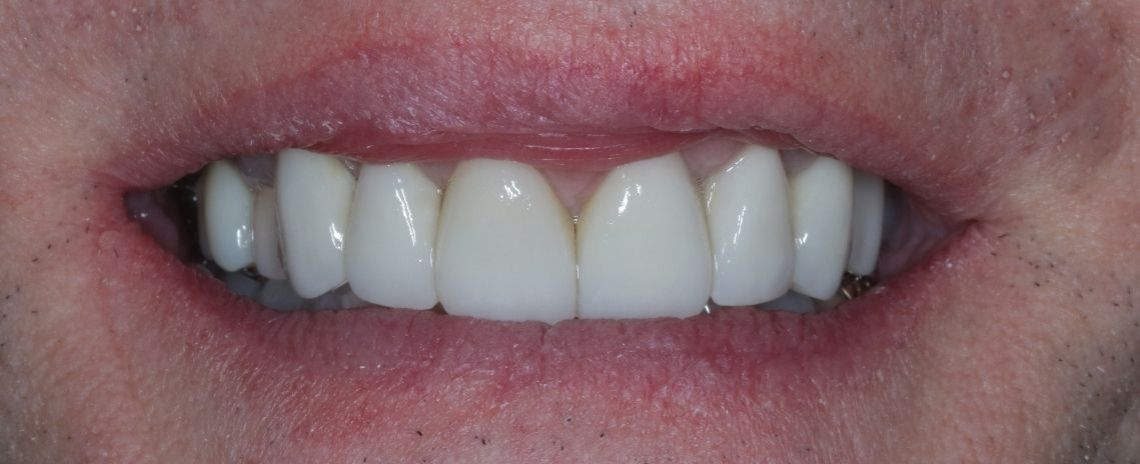
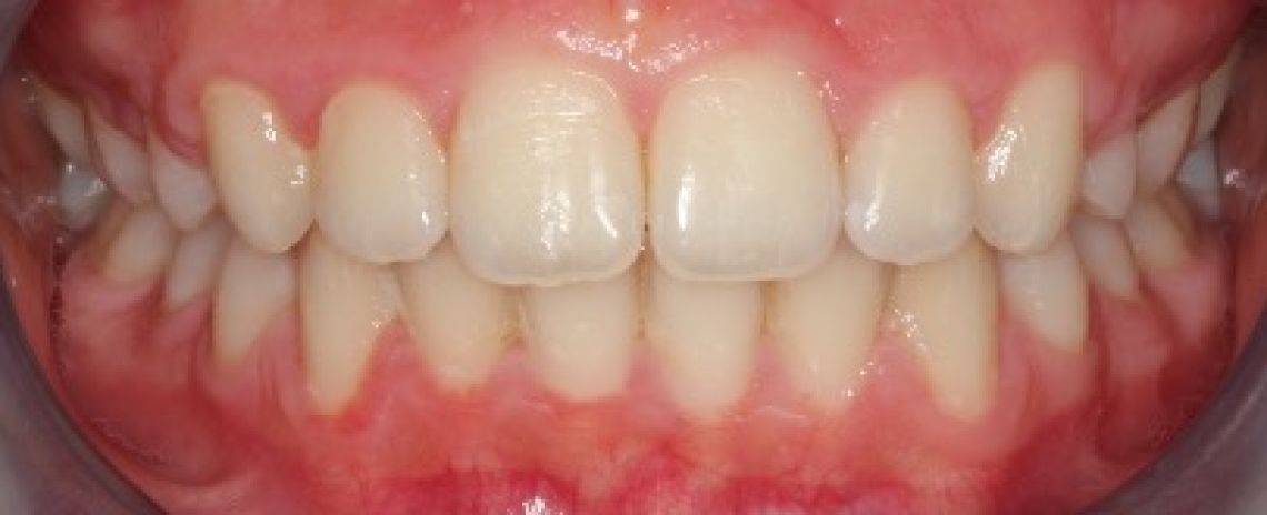
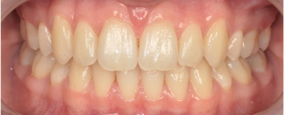
 Veneers Before  Veneers After

Veneers

 Composite Veneers Before  Composite Veneers After

Composite Veneers

 Veneers Before  Veneers After

Veneers

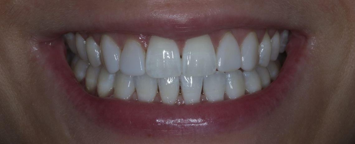
 Smile Makeover Before  Smile Makeover After

Smile Makeover

Single Central Composite Composite Bonding Before Single Central Composite Composite Bonding After

Single Central Composite

Composite Bonding

 Invisalign teeth alignment Before  Invisalign teeth alignment After

Invisalign teeth alignment

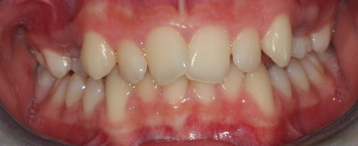
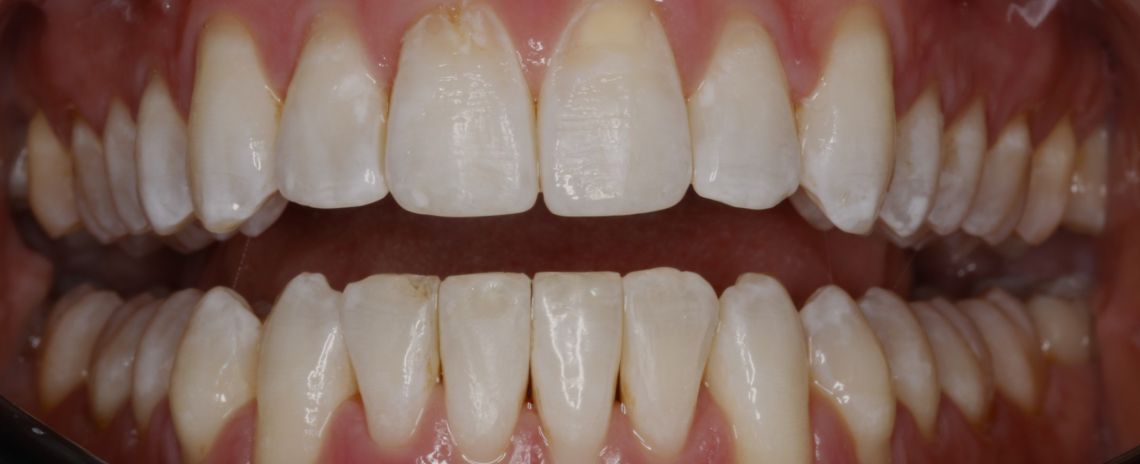
Case 2 Orthodontics Crowded teeth  Narrow upper jaw  Expansion appliance  Metal fixed braces  18 months  Before Case 2 Orthodontics Crowded teeth  Narrow upper jaw  Expansion appliance  Metal fixed braces  18 months  After

Case 2 Orthodontics

Crowded teeth Narrow upper jaw Expansion appliance Metal fixed braces 18 months

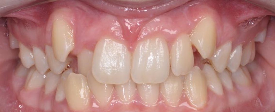
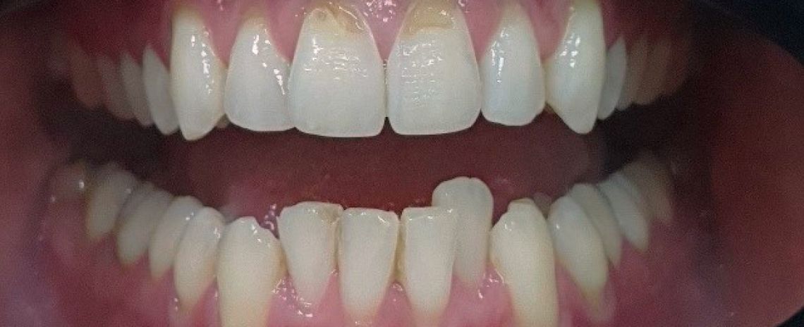
Case 1 Orthodontics Crowded teeth  Improper bite  White ceramic braces  15 months treatment  Before Case 1 Orthodontics Crowded teeth  Improper bite  White ceramic braces  15 months treatment  After

Case 1 Orthodontics

Crowded teeth Improper bite White ceramic braces 15 months treatment

Case 3 Orthodontics Crowded teeth  Improper bite  Invisalign aligners treatment  12 months  Before Case 3 Orthodontics Crowded teeth  Improper bite  Invisalign aligners treatment  12 months  After

Case 3 Orthodontics

Crowded teeth Improper bite Invisalign aligners treatment 12 months

Case 4 Orthodontics Spaced teeth  Invisalign aligners treatment  10 months  Before Case 4 Orthodontics Spaced teeth  Invisalign aligners treatment  10 months  After

Case 4 Orthodontics

Spaced teeth Invisalign aligners treatment 10 months

Case 5 Orthodontics Improper bite with 14 mm overlap of the front teeth (Overjet)  Functional braces 10 months followed by metal braces 12 months  No extractions done  Before Case 5 Orthodontics Improper bite with 14 mm overlap of the front teeth (Overjet)  Functional braces 10 months followed by metal braces 12 months  No extractions done  After

Case 5 Orthodontics

Improper bite with 14 mm overlap of the front teeth (Overjet) Functional braces 10 months followed by metal braces 12 months No extractions done

Invisalign treatment Dr Rory Invisalign Before Invisalign treatment Dr Rory Invisalign After

Invisalign treatment Dr Rory

Invisalign

More
Composite bonding Dr Rory Composite bonding Before Composite bonding Dr Rory Composite bonding After

Composite bonding Dr Rory

Composite bonding

There are no stories matching your selection. Please try again.